Dental Cleaning & Polishing

Experience a deeper, gentler clean that leaves your teeth feeling smooth, refreshed, and your gums healthier than ever.

Book Appointment
Professional Dental Cleaning and Polishing in Hyderabad
Teeth Cleaning and Scaling at The Tooth Story Dental Hyderabad

What Is a Professional Dental Cleaning & Polishing?

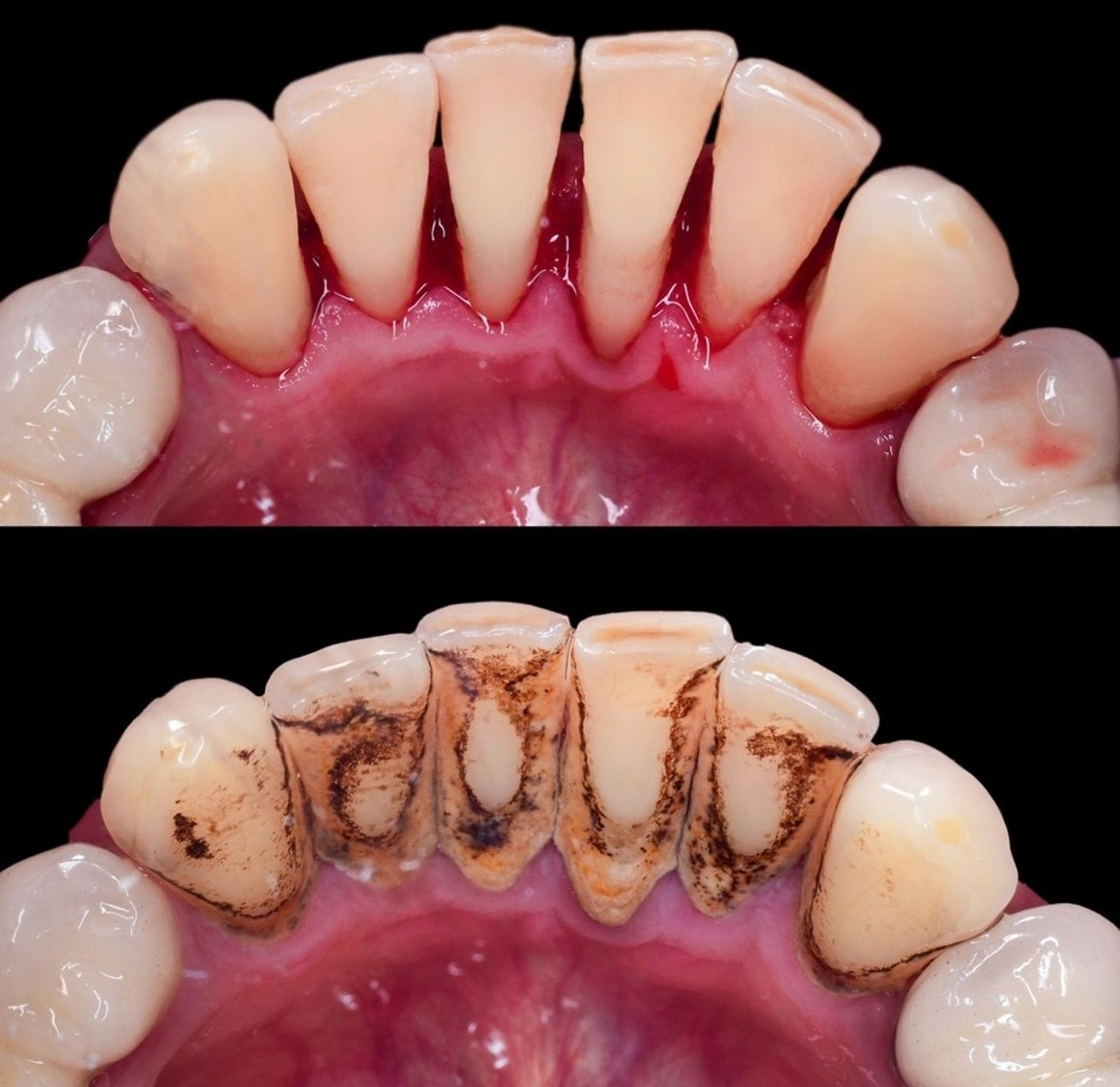
A professional dental cleaning (prophylaxis) is a preventive treatment designed to remove plaque, tartar (calculus), and surface stains that routine brushing and flossing cannot fully eliminate. Unlike home care, a professional cleaning reaches below the gumline and targets buildup that contributes to gingivitis and tooth decay.

The polishing process smooths the tooth enamel, making it more resistant to future plaque accumulation while leaving your mouth feeling exceptionally clean and fresh. This treatment forms the foundation of long-term oral health and is generally recommended every six months.

What’s Included in a Standard Cleaning?

Supragingival scaling

Removal of tartar and plaque from above the gumline to prevent decay.

Subgingival scaling

Gentle cleaning below the gumline to prevent periodontal disease.

Polishing

Use of a rotating rubber cup with prophy paste to remove surface stains.

Flossing

Professional flossing to clear debris between teeth to ensure complete cleanliness.

Oral hygiene guidance

Personalized recommendations to enhance your home care routine for long-term health.

Why Is Professional Cleaning Essential?

Dental Cleaning Process Steps at The Tooth Story Hyderabad

A professional cleaning is more than just a cosmetic enhancement—it plays a critical role in maintaining overall health.

  • Brighter, smoother teeth: Removes stains caused by coffee, tea, and tobacco.
  • Gum disease prevention: Eliminates bacteria that lead to gingivitis and infection.
  • Long-term savings: Detects issues early, helping avoid costly treatments.
  • Whole-body health connection: Reduces risks linked to heart disease and diabetes.
  • Fresh breath: Targets odor-causing bacteria in hard-to-reach areas.
  • Early detection: Enables identification of cavities and oral cancer at an early stage.

What to Expect During Your Appointment?

1

Oral Health Assessment

Your hygienist will begin by reviewing your medical history and conducting a visual examination using a small mirror to check for inflammation, cavities, or other concerns.

2

Scaling (Tartar Removal)

Using specialized instruments or an ultrasonic scaler, plaque and tartar are gently removed from the tooth surfaces and below the gumline. The ultrasonic device uses vibrations and water flow, making the process comfortable and efficient.

3

Polishing

A high-powered electric brush and prophylactic paste are used to polish the teeth, removing stains and leaving the enamel smooth and clean.

4

Professional Flossing

Each tooth is carefully flossed to remove any remaining debris and assess areas that may require better at-home care.

5

Fluoride Treatment

A fluoride gel or varnish may be applied to strengthen enamel and reduce sensitivity, offering additional protection against cavities.

6

Dentist’s Final Examination

Your dentist will conduct a final evaluation, review findings, and discuss any recommended treatments.

Who Is This For?

Ideal Candidates

  • Individuals with healthy gums or mild gingivitis
  • Patients who maintain regular dental visits
  • Those looking to preserve dental work like crowns or implants

May Require Different Care If:

  • You have active periodontal disease (pocket depths > 4mm)
  • It has been more than two years since your last cleaning
  • You have underlying medical conditions requiring specialized care

Frequently Asked Questions

Most patients experience little to no discomfort. For sensitive teeth or gums, we use gentle techniques and numbing gels to ensure a comfortable experience.

A standard cleaning typically takes 30 to 60 minutes. If additional procedures are required, the appointment may extend up to 90 minutes.

The American Dental Association (ADA) recommends cleanings every six months. Patients with specific conditions may require more frequent visits (every 3–4 months).

Yes, a light meal is recommended. However, after fluoride treatment, avoid eating or drinking for 30 minutes.

Yes. Polishing removes biofilm and stains that brushing cannot address and smooths enamel to prevent plaque buildup.

Ready to Experience a Cleaner, Healthier Smile?

Do not wait until discomfort arise. We welcome you with care, expertise, and a commitment to your oral health.

Book Your Visit Now